Evolução favorável de recidiva de infecção por varicela zoster (cobreiro) durante uso de natalizumabe em paciente com esclerose múltipla: relato de caso

Autores

  • Diego Rafhael Soares Carvalho Feitosa Universidade Federal do Ceará, Hospital Universitário Walter Cantídio.
  • Francisco de Assis Aquino Gondim Universidade Federal do Ceará
  • Galeno Viera Rocha Universidade Federal do Ceará, Hospital Universitário Walter Cantídio.

DOI:

https://doi.org/10.20513/2447-6595.2017v57n1p66-68

Palavras-chave:

Esclerose múltipla. Natalizumabe. Herpes Zóster.

Resumo

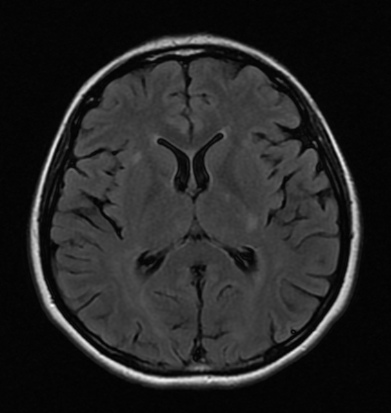
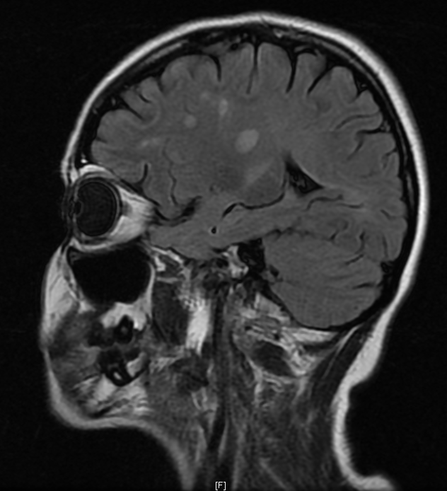
Objetivo: Relatar o caso de recidiva de herpes-zoster (HZ) em paciente com esclerose múltipla (EM) em uso de tratamento imunomodulador (natalizumabe) com evolução favorável. Descrição de caso: Mulher de 39 anos com diagnóstico de EM há 1 ano e 6 meses, previamente tratada com interferon 1a, começou tratamento com natalizumabe, desenvolvendo HZ após três meses de tratamento. HZ foi tratado com aciclovir, por sete dias, via oral. Seguimento ambulatorial após três meses de tratamento mostrou resolução completa das lesões, sem desencadeamento de neuralgia pós-herpética. Conclusões: As novas terapias para a EM podem estar relacionadas a diferentes tipos de efeitos adversos. Nem todos os casos de HZ, associados com novas terapias para EM, evoluem de forma desfavorável. Estudos são necessários para reconhecer os fatores de riscos para as formas graves de HZ em tais pacientes.

Biografia do Autor

  • Diego Rafhael Soares Carvalho Feitosa, Universidade Federal do Ceará, Hospital Universitário Walter Cantídio.
    Residência em Neurologia, Hospital Universitário Walter Cantídio (HUWC).
  • Francisco de Assis Aquino Gondim, Universidade Federal do Ceará

    Doutor (2003) em Farmacologia pela Universidade Federal do Ceará e Livre Docente em Neurologia pela Faculdade de Medicina da Universidade de São Paulo, Ribeirão Preto (2009), Docente do Departamento de Medicina Clínica, Serviço de Neurologia da Universidade Federal do Ceará.

  • Galeno Viera Rocha, Universidade Federal do Ceará, Hospital Universitário Walter Cantídio.
    Residência em Neurologia, Hospital Universitário Walter Cantídio (HUWC).

Downloads

Publicado

2017-04-25

Edição

Seção

RELATOS DE CASO