Good visual outcome in a longstanding macular detachment associated with an optic disc pit treated with vitrectomy, laser, and gas tamponade: case report.
doi: 10.20513/2447-6595.2016v56n1p68-70

Autores

  • Ricardo Evangelista Marrocos de Aragao Universidade Federal do Ceará (UFC)
  • Ieda Maria Alexandre Barreira Oftalmologista do Centro Integrado de Diabetes e Hipertensão (CIDH)
  • Francisco Holanda Oliveira Neto Universidade Federal do Ceará (UFC)
  • Leidiane Adriano Pereira Universidade Federal do Ceará (UFC)
  • Barbara Lorena Alves Arrais Universidade Federal do Ceará (UFC)
  • Cesar Pereira de Araujo Residente de oftalmologia do Hospital Universitário Walter Cantídio (HUWC)
  • Gustavo Jose Arruda Mendes Carneiro Universidade Federal do Ceará (UFC)
  • Talles Peterson Cavalcante Oria Residente de oftalmologia do Hospital Universitário Walter Cantídio (HUWC)
  • Everton Fernandes Vieira de Almeida Universidade Federal do Ceará (UFC)

DOI:

https://doi.org/10.20513/2447-6595.2016v56n1p68-70

Palavras-chave:

Retinal detachment. Vitrectomy. Macula lutea. Optic nerve. Retina.

Resumo

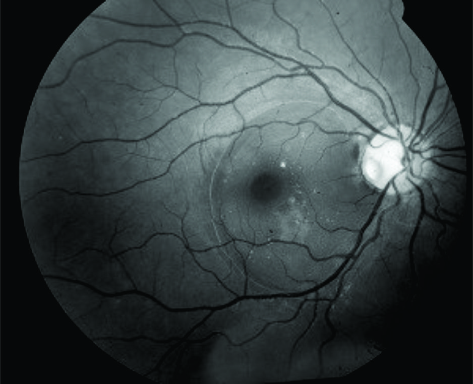
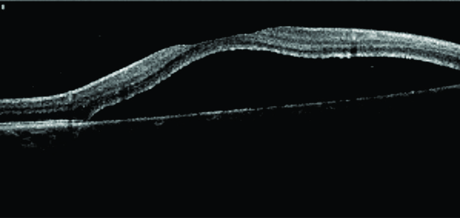
Optic disc pit is a congenital anomaly of the optic nerve frequently associated with macula detachment. It has a poor visual prognosis if left untreated. The treatment of the optic disc remains controversial and includes the use of laser along the edge of the optic nerve, vitrectomy with gas tamponade with or without removal of posterior hyaloid. We report a case of a 19-year-old female with a longstanding macula detachment due to optic disc pit who was treated with vitrectomy with removal of posterior hyaloid, gas tamponade, and laser. Despite longstanding macular detachment the final visual acuity was 20/25.

Biografia do Autor

  • Ricardo Evangelista Marrocos de Aragao, Universidade Federal do Ceará (UFC)
    Possui graduação em medicina pela Universidade Federal do Ceará (1992) e doutorado em oftalmologia - Universität Regensburg - Alemanha (2003). Especialista em retina e vítreo pela Universidade de Regensburg- Alemanha .Atualmente é medico resposavel pelo setor de retina do CENTRO INTEGRADO DE DIABETES E HIPERTENSÃO , preceptor da residencia medica de oftalmologia no Hospital Universitario Walter Cantidio da Universidade Federal do Ceará na area de retina e professor substituto da cadeira de oftalmologia. Tem experiência na área de Medicina, com ênfase em oftalmologia, atuando principalmente no seguinte tema: retina e vítreo, uveites e neroftalmologia.
  • Ieda Maria Alexandre Barreira, Oftalmologista do Centro Integrado de Diabetes e Hipertensão (CIDH)
    Oftalmologista do Centro Integrado de Diabetes e Hipertensão (CIDH)
  • Francisco Holanda Oliveira Neto, Universidade Federal do Ceará (UFC)
    Oftalmologista do Hospital da Base Aérea de Fortaleza
  • Leidiane Adriano Pereira, Universidade Federal do Ceará (UFC)
    Residente de oftalmologia do Hospital Universitário Walter Cantídio (HUWC)
  • Barbara Lorena Alves Arrais, Universidade Federal do Ceará (UFC)
    Residente de oftalmologia do Hospital Universitário Walter Cantídio (HUWC)
  • Cesar Pereira de Araujo, Residente de oftalmologia do Hospital Universitário Walter Cantídio (HUWC)
    Médico pela Universidade Federal de Alagoas (2006 - 2011). Residência Médica em Oftalmologia pela Universidade Federal do Ceará (2013 - 2016). Fellowship Observer em Retina e Vítreo pelo Institut Catalá de Retina - Barcelona - Espanha (2015). Pós-Graduação em Oftalmologia - Retina e Vítreo (Clinical and Surgical Fellowship) pelo Hospital de Olhos de Sorocaba - SP (Em andamento).
  • Gustavo Jose Arruda Mendes Carneiro, Universidade Federal do Ceará (UFC)
    Residente de oftalmologia do Hospital Universitário Walter Cantídio (HUWC)
  • Talles Peterson Cavalcante Oria, Residente de oftalmologia do Hospital Universitário Walter Cantídio (HUWC)
    Possui graduação em Medicina pela Faculdade de Medicina de Juazeiro do Norte (2009). Possui graduação em Fisioterapia pela Universidade de Fortaleza (2000).
  • Everton Fernandes Vieira de Almeida, Universidade Federal do Ceará (UFC)
    Residente de oftalmologia do Hospital Universitário Walter Cantídio (HUWC)

Downloads

Publicado

2016-06-30

Edição

Seção

RELATOS DE CASO